Zahnerhalt

Termin vereinbaren

Eigene Zähne sind die Besten

Unser oberstes Ziel ist es, Ihre natürlichen Zähne so lange wie möglich zu erhalten. Mit modernen, minimalinvasiven Methoden reparieren wir Defekte nahezu unsichtbar und schonend.

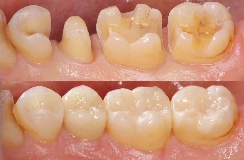
Ästhetische Füllung

Ästhetische Füllungen

Karies muss nicht mehr dunkel aussehen. Wir verwenden moderne Hochleistungskunststoffe (Komposite), die exakt an Ihre Zahnfarbe angepasst werden.

  • 100% Amalgamfrei
  • Farblich perfekte Anpassung
  • Stabil und langlebig
Moderne Endodontie

Wurzelbehandlung (Endodontie) - 3D Röntgen

Eine Entzündung im Zahninneren bedeutete früher oft den Verlust des Zahnes. Heute können wir den Zahn retten. Durch modernste Technik reinigen wir die Wurzelkanäle schonend und füllen sie bakteriendicht ab.

Ihr Vorteil: Der eigene Zahn bleibt fest im Kiefer erhalten und kann noch viele Jahre dienen.

Keramik Inlay

Keramik-Inlays

Bei größeren Defekten im Seitenzahnbereich reicht eine einfache Füllung oft nicht aus. Hier bieten wir Ihnen maßgefertigte Einlagefüllungen (Inlays) aus Keramik an. Sie sind extrem belastbar, verfärben sich nicht und sind vom echten Zahn kaum zu unterscheiden.