Ästhetische Zahnmedizin

Termin vereinbaren

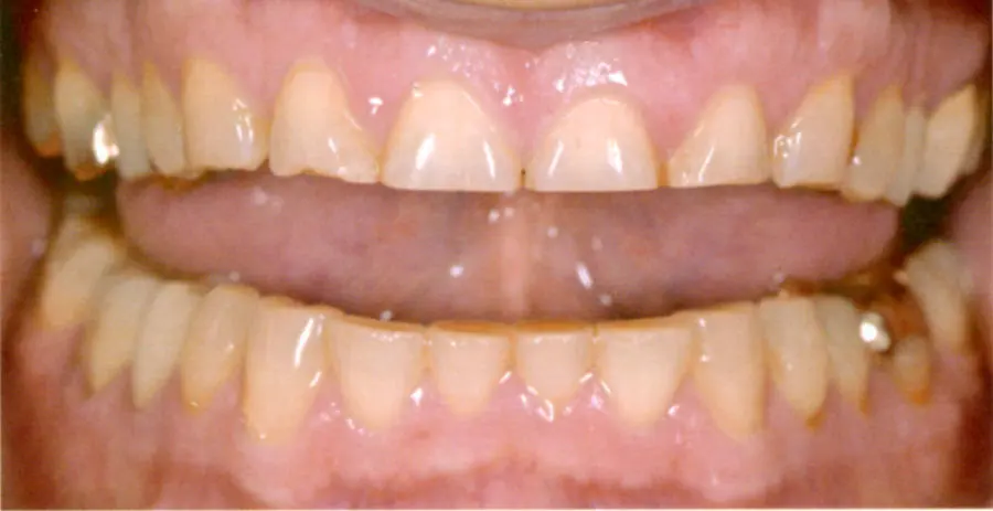
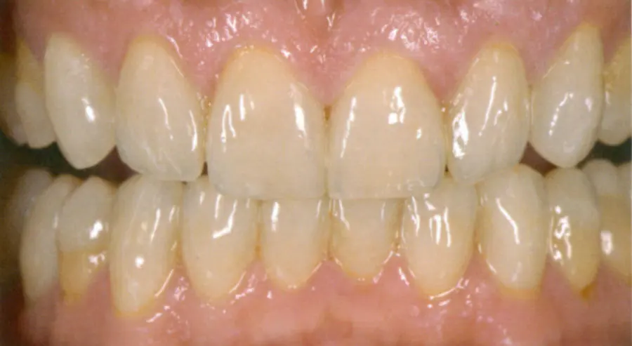
Bleaching

Mit dem Fläsch System von Bluedenta

Fläsch Bleaching System Bluedenta

Bleaching

Mit dem Fläsch System von Bluedenta

  • In Office Bleaching mit UV Lampe
  • Zahnfleisch ist durch individuelle silicon Maske geschützt
  • Set enthält Tuben zum nacharbeiten für zu Hause
Abrasionsgebiss vor Behandlung Ergebnis nach der Behandlung

Optimale Ästhetik durch Bisshebungen

Oft verändert sich ab einem gewissen Alter das aussehen der Frontzähne durch eine Änderung der Funktion. Dies liegt daran das der Biss im laufe des Lebens bis zur Ausbildung das vollständigen bleibenden Gebisses um das 12. Lebensjahr hebt und ab diesem Zeitpunkt kontinuierlich absenkt. Verursacht durch die Nutzung und natürliche Abrasion. Dieser Prozess wird durch Attrition (Esstörungen), Bruxismus (Knirschen), Caries und Füllungen (insbesondere Amalgam), sowie Zahnverlust erheblich beschleunigt. Die Folgen sind: Verschiebungen oder Verkürzungen der Frontzähne oder die Ausbildung ausgeprägter Lücken zwischen den Frontzähnen

Haben sie dies bei sich festgestellt: Sprechen sie uns an, es gibt vielfältige Methoden dies zu korregieren und ein natürliches jugendliches Aussehen wiederzu erlangen

Keramik Veneers

Keramik Veneers, Inlays, Teilkronen und Kronen mit minimalem Substanzverlust

Diese Methoden können auch so benutzt werden, das eine Nachträgliche Verschiebung von Zähnen vermieden wird ohne das unangenehme Drähte im Mund fixiert werden müssen oder Schienen getragen werden müssen.