Implantologie & Oralchirurgie

Termin vereinbaren

minimalinvasieve Operationsmethoden

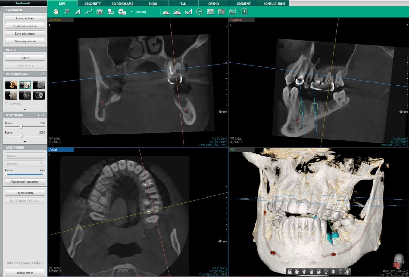
Sicher geplant durch moderne 3D Bildgebung

Ästhetische Füllung

Implantate

Der 1:1 Zahnersatz, auch als sichere Verankerung für die "dritten"

  • Beschleifen gesunder Zähne lässt sich vermeiden
  • Auf herausnehmbarer Zahnersatz kann verzichtet werden
  • Wenn Herausnehmbarer Zahnersatz unumgänglich ist bieten Implantate sicheren Halt
Moderne Endodontie

Optimale 3D Bildgebung für sichere Analyse und operationsmethoden

Mit dem GreenX EVO (Vatech / Orangedental) bieten wir ihnen die aktuell führende Technik im Bereich der strahlungs armen 3D Röntgentechnik, der Digitalen Volumenthomoraphie (DVT). Wir führen diese Aufnahmen auch im Auftrag ihres Zahnarztes durch und geben diese auf Datenträger für Folgebehandler mit.

Ihr Vorteil: Reduzierung von Risiken und sicherere, transparente Planung von Eingriffen

Keramik Inlay

Wurzelspitzenresektionen, Replantation und minimalinvasieve Zahnentfernung

Innovative Methoden zum erhalt von Zähnen, die sonst entfernt werden müssten, die Zahnentfernung und die sogenannte Socket preservation (den erhalt des Knochens im Bereich des ehemaligen Zahnbetts).